Angiomatosis

Angiomatosis
Skin angiomatosis
SpecialtyCardiology Edit this on Wikidata

Angiomatosis is a non-neoplastic condition[1] characterised by nests of proliferating capillaries arranged in a lobular pattern, displacing adjacent muscle and fat.[2] It consists of many angiomas.[3]

Presentation

Associated

They often appear in:

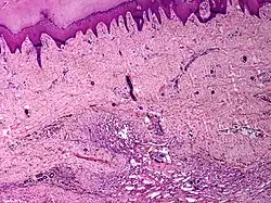
Histology

It is a vascular malformation wherein blood vessels proliferate along with accompanying mature fat and fibrous tissue, lymphatics and sometimes nerves.[2] They may involve skin, subcutaneous tissue, skeletal muscle and occasionally bone.[2]

Prognosis

Prognosis depends on the size and location of the tumour, untreated angiomatosis may lead to blindness and/ or permanent brain damage. Death may occur, with complications in the kidney or brain.[4]

See also

References

  1. ^ Angiomatosis at the U.S. National Library of Medicine Medical Subject Headings (MeSH)
  2. ^ a b c Howat, AJ; Campbell, PE (October 1987). "Angiomatosis: a vascular malformation of infancy and childhood. Report of 17 cases". Pathology. 19 (4): 377–82. doi:10.3109/00313028709103887. PMID 3444663. S2CID 23743347.
  3. ^ "angiomatosis" at Dorland's Medical Dictionary
  4. ^ a b "Von Hippel–Lindau Disease (VHL) Information Page". www.ninds.nih.gov. National Institute of Neurological Disorders and Stroke.