Apocrine gland carcinoma

Apocrine gland carcinoma
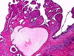
Apocrine gland carcinoma, papillary type
SpecialtyDermatology/oncology

Apocrine gland carcinoma is a cutaneous condition characterized by skin lesions which form in the axilla or anogenital regions.[1]: 670 

See also

References

  1. ^ James, William D.; Berger, Timothy G.; et al. (2006). Andrews' Diseases of the Skin: Clinical Dermatology. Saunders Elsevier. ISBN 0-7216-2921-0.