Bodo saltans virus

Theiavirus salishense
(A) shows a mature BsV virion.
(B) shows a healthy Bodo saltans cell.
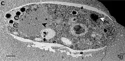
(C) and (D) show a post-infection state, assembly, and maturation of the virus inside a Bodo saltans cell.
Virus classification Edit this classification
(unranked): Virus
Realm: Varidnaviria
Kingdom: Bamfordvirae
Phylum: Nucleocytoviricota
Class: Megaviricetes
Order: Imitervirales
Family: Mimiviridae
Species:
Theiavirus salishense

Theiavirus salishense, the Bodo saltans virus is a giant virus of the Mimiviridae family that infects the protozoa Bodo saltans.[1] It has a genome of 1.39 megabases, one of the largest known viral genomes.[1]

Bodo saltans cell 24 hr post-BsV infection showing degraded intracellular structures and a BsV virus factory (black arrow head).[1]

References

  1. ^ a b c Deeg, C.M.; Chow, E.C.T.; Suttle, C.A. (2018). "The kinetoplastid-infecting Bodo saltans virus (BsV), a window into the most abundant giant viruses in the sea". eLife. 7: e33014. doi:10.7554/eLife.33014. PMC 5871332. PMID 29582753.