Enthesophyte

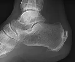
Enthesophytes are abnormal bony projections at the attachment of a tendon or ligament.[1] They are not to be confused with osteophytes, which are abnormal bony projections in joint spaces. Enthesophytes and osteophytes are bone responses for stress.[1]
See also
References
- ^ a b Rogers, J.; Shepstone, L.; Dieppe, P. (1997). "Bone formers: osteophyte and enthesophyte formation are positively associated". Annals of the Rheumatic Diseases. 56 (2): 85–90. doi:10.1136/ard.56.2.85. PMC 1752321. PMID 9068279.