Feathery degeneration

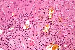
Feathery degeneration - large cells with pale flocculant cytoplasm (left-bottom and right-top). H&E stain.

In histopathology, feathery degeneration, formally feathery degeneration of hepatocytes, is a form of liver parenchymal cell (i.e. hepatocyte) death associated with cholestasis.[1]

Cells undergoing this form of cell death have a flocculant appearing cytoplasm,[2] and are larger than normal hepatocytes.

Relation to ballooning degeneration

Feathery degeneration is somewhat similar in appearance to ballooning degeneration, which is due to other causes (e.g. alcohol, obesity); it also has cytoplasmic clearing and cell swelling.

See also

Additional images

References

  1. ^ Desmet, VJ (1995). "Histopathology of cholestasis". Verh Dtsch Ges Pathol. 79: 233–40. PMID 8600686.
  2. ^ Li, MK; Crawford, JM (Feb 2004). "The pathology of cholestasis". Semin Liver Dis. 24 (1): 21–42. doi:10.1055/s-2004-823099. PMID 15085484.