Intestinal spirochetosis

Intestinal spirochetosis
Other namesIntestinal spirochetes, colonic spirochetosis, colonic spirochetes, brachyspirosis
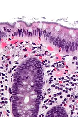
Histopathology of intestinal spirochetosis, showing basophilic, fringe-like, end-on-end attachment of filamentous densely packed spirochetes on the surface epithelium of the intestinal mucosa.[1] H&E stain.
SpecialtyInfectious disease

Human intestinal spirochetosis, often called just intestinal spirochetosis when the human context is implicit, is an infection of the colonic-type mucosa with certain species of spirochetal bacteria. Similar infections sometimes occur in pigs, dogs, and birds; porcine intestinal spirochaetosis is an economically important disease of livestock.

Signs and symptoms

No clear association exists with complaints. However, potential associations include abdominal pain and watery diarrhea, which may be seen with blood; however, these findings are not specific and may be due to a number of other causes.[2]

Cause

Human intestinal spirochetosis is caused by Brachyspira pilosicoli and Brachyspira aalborgi.[3] Porcine and avian intestinal spirochetosis are caused by Brachyspira hyodysenteriae and Brachyspira pilosicoli.

Diagnosis

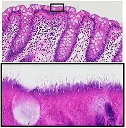
Micrograph showing intestinal spirochetosis. H&E stain.

It is diagnosed by examination of tissue, i.e., biopsy. A hallmark finding is the presence of a “false brush border” on the luminal surface of the epithelium, formed by dense linear colonization of spirochetes.[4]

Management

Symptomatic individuals can be treated with oral metronidazole.

See also

References

  1. ^ Image by Mikael Häggström, MD. Reference for description: Elliot Weisenberg, M.D. "Intestinal spirochetosis". Pathology Outlines. Last author update: 1 May 2017. Last staff update: 3 May 2022
  2. ^ Kothari, Truptesh H. "Intestinal Spirochetosis" (PDF). Archived from the original (PDF) on 2016-03-03. Retrieved 25 April 2011.
  3. ^ Amat Villegas I, Borobio Aguilar E, Beloqui Perez R, de Llano Varela P, Oquiñena Legaz S, Martínez-Peñuela Virseda JM (January 2004). "[Colonic spirochetes: an infrequent cause of adult diarrhea]". Gastroenterol Hepatol (in Spanish). 27 (1): 21–3. doi:10.1016/s0210-5705(03)70440-3. PMID 14718105.
  4. ^ Zotti, Sara; Fusaro, Lisa; Di Bella, Stefano; Babich, Stella (2025-06-12). "Human intestinal spirochetosis presenting as colonic ulceration in an immunocompetent 65-year-old man". Infection. doi:10.1007/s15010-025-02574-0. ISSN 0300-8126.