Mast cell sarcoma

Mast cell sarcoma
SpecialtyOncology
Usual onsetCan occur at any age.[1]
PrognosisThe median survival time is less than 18 months

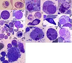
Mast cell sarcoma is an extremely aggressive[2] form of sarcoma made up of neoplastic mast cells. A sarcoma is a tumor made of cells from connective tissue. Mast cell sarcoma is an extremely rare tumor. The largest analysis to date comprises 34 cases.[3] Prognosis is extremely poor. People with a mast cell sarcoma have no skin lesions, and pathology examination of the tumor shows it to be very malignant with an aggressive growth pattern.[4] Mast cell sarcoma should not be confused with extracutaneous mastocytoma, a rare benign mast cell tumor without destructive growth. In the cases observed, mast cell sarcoma terminated quickly as mast cell leukemia; one of the most aggressive human cancers.[5]

See also

References

  1. ^ Monnier, Jilliana; Georgin-Lavialle, Sophie; Canioni, Danielle; Lhermitte, Ludovic; Soussan, Michael; Arock, Michel; Bruneau, Julie; Dubreuil, Patrice; Bodemer, Christine; Chandesris, Marie-Olivia; Lortholary, Olivier; Hermine, Olivier; Damaj, Gandhi (4 October 2016). "Mast cell sarcoma: new cases and literature review". Oncotarget. 7 (40): 66299–66309. doi:10.18632/oncotarget.11812. PMC 5323235. PMID 27602777.
  2. ^ Chott A, Guenther P, Huebner A, Selzer E, Parwaresch R, Horny H, Valent P (2003). "Morphologic and immunophenotypic properties of neoplastic cells in a case of mast cell sarcoma". Am J Surg Pathol. 27 (7): 1013–9. doi:10.1097/00000478-200307000-00019. PMID 12826896. S2CID 46710032.
  3. ^ Matsumoto, Nana P.; Yuan, Ji; Wang, Jun; Shen, Qi; Chen, Xueyan; Kim, Young; Zuppan, Craig W.; Chang, Chung-Che; Cui, Wei; Chen, Dong; Shi, Min; Gisriel, Savanah D.; Chen, Mingyi; Xu, Mina L.; Pan, Zenggang (July 2022). "Mast cell sarcoma: clinicopathologic and molecular analysis of 10 new cases and review of literature". Modern Pathology. 35 (7): 865–874. doi:10.1038/s41379-022-01014-w. PMID 35105959.
  4. ^ Nancy Gould, "Diagnosis and Classification of Mastocytosis Archived 2004-10-27 at the Wayback Machine", The Mastocytosis Society.
  5. ^ Ansell, Stephen M., ed. (2008). Rare Hematological Malignancies. doi:10.1007/978-0-387-73744-7. ISBN 978-0-387-73743-0.