Steatocystoma simplex

Steatocystoma simplex
Other namesSimple sebaceous duct cyst, solitary steatocystoma
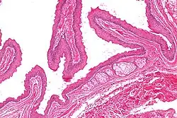
Micrograph of a steatocystoma showing the characteristic corrugated eosinophilic lining. H&E stain
SpecialtyDermatology
Relative incidence of cutaneous cysts. Steatocystoma is labeled at right.

Steatocystoma simplex is a skin condition characterized by simple cysts forming in the ducts of sebaceous glands of the skin. It may be sporadic or hereditary.[1] It occurs with equal frequency in adult women and men, and cysts are typically found on the face, trunk, or extremities.[2]: 679  It is related to Steatocystoma multiplex.[3]

References

  1. ^ Georgakopoulos, Jorge R.; Ighani, Arvin; Yeung, Jensen (December 2018). "Numerous asymptomatic dermal cysts: Diagnosis and treatment of steatocystoma multiplex". Canadian Family Physician Medecin de Famille Canadien. 64 (12): 892–899. ISSN 1715-5258. PMC 6371868. PMID 30541803.
  2. ^ James, William D.; Berger, Timothy G.; et al. (2006). Andrews' Diseases of the Skin: Clinical Dermatology. Saunders Elsevier. ISBN 0-7216-2921-0.
  3. ^ Davey, Mathew. "Steatocystoma Multiplex". Retrieved 25 May 2011.